 |
Immunofluorescence analysis of human-liver-cancer tissue. 1,CD45 Monoclonal Antibody(12A9)(red) was diluted at 1:200(4°C,overnight). 2, Cy3 labled Secondary antibody was diluted at 1:300(room temperature, 50min).3, Picture B: DAPI(blue) 10min. Picture A:Target. Picture B: DAPI. Picture C: merge of A+B |
 |
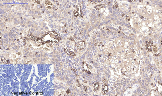
Immunohistochemical analysis of paraffin-embedded Human-lung-cancer tissue. 1,CD45 Monoclonal Antibody(12A9) was diluted at 1:200(4°C,overnight). 2, Sodium citrate pH 6.0 was used for antibody retrieval(>98°C,20min). 3,Secondary antibody was diluted at 1:200(room tempeRature, 30min). Negative control was used by secondary antibody only. |
 |
Western blot analysis of Hela, diluted at 1:2000. |