CREB-1 (phospho Ser129) Rabbit Polyclonal Antibody

货号: BD-PP0074
收藏
规格 价格 货期 数量
  • 50μl
    1200.00
    咨询
    100μl
    2200.00
    咨询

产品基本信息

  • 产品货号 BD-PP0074
  • 别名 CREB1; Cyclic AMP-responsive element-binding protein 1; CREB-1; cAMP-responsive element-binding protein 1
  • 产品名称 CREB-1 (phospho Ser129) Rabbit Polyclonal Antibody
  • 类别 抗体产品
  • 基因名称 CREB1
  • 蛋白名称 Cyclic AMP-responsive element-binding protein 1
  • Clonality Polyclonal
  • 推荐应用 IHC-P,IF-P,IF-F,IF-ICC,WB,ELISA
  • 反应种属 Human,Mouse,Rat
  • 浓度 1 mg/ml
  • 存储缓冲液 Liquid in PBS containing 50% glycerol, 0.5% BSA and 0.02% New type preservative N.
  • Human Gene ID 1385
  • Human Gene Link http://www.ncbi.nlm.nih.gov/sites/entrez?db=gene&term=1385
  • Human Swissprot No. P16220
  • Human Swissprot Link http://www.uniprot.org/uniprotkb/P16220/entry
  • Mouse Gene ID 12912
  • Mouse Gene Link http://www.ncbi.nlm.nih.gov/sites/entrez?db=gene&term=12912
  • Mouse Swissprot No. Q01147
  • Mouse Swissprot Link http://www.uniprot.org/uniprot/Q01147
  • Rat Gene ID 81646
  • Rat Gene Link http://www.ncbi.nlm.nih.gov/sites/entrez?db=gene&term=81646
  • Rat Swissprot No. P15337
  • Rat Swissprot Link http://www.uniprot.org/uniprot/P15337
  • 免疫原 The antiserum was produced against synthesized peptide derived from human CREB around the phosphorylation site of Ser129. AA range:96-145
  • 特异性 Phospho-CREB-1 (S129) Polyclonal Antibody detects endogenous levels of CREB-1 protein only when phosphorylated at S129.
  • 稀释度 WB 1:500-2000, IHC-P 1:100-1:300, IF-P/IF-F/IF-ICC 1:200-1:1000, ELISA 1:40000.Not yet tested in other applications.
  • 参考分子量 37kDa
  • 运输及保存条件 Biological ice bag transportation. Store at -20°C for at least 12 months(Do not lower than -25°C). Avoid freeze/thaw cycles
  • 宿主 Rabbit
  • 同种型 Rabbit,IgG
  • 背景介绍 This gene encodes a transcription factor that is a member of the leucine zipper family of DNA binding proteins. This protein binds as a homodimer to the cAMP-responsive element, an octameric palindrome. The protein is phosphorylated by several protein kinases, and induces transcription of genes in response to hormonal stimulation of the cAMP pathway. Alternate splicing of this gene results in several transcript variants encoding different isoforms. [provided by RefSeq, Mar 2016],
  • 组织表达 Eye,Placenta,Spleen,Testis,
  • 细胞定位 Nucleus .
  • 信号通路 Antigen processing and presentation;Melanogenesis;Huntington's disease;Prostate cancer;
  • 功能 disease:A chromosomal aberration involving CREB1 is associated with angiomatoid fibrous histiocytoma (AFH) [MIM:612160]. Translocation t(2;22)(q33;q12) with CREB1 generates a EWSR1/CREB1 fusion gene that is most common genetic abnormality in this tumor type.,function:This protein binds the cAMP response element (CRE), a sequence present in many viral and cellular promoters. CREB stimulates transcription on binding to the CRE. Transciption activation is enhanced by the TORC coactivators which act independently of Ser-133 phosphorylation. Implicated in synchronization of circadian rhythmicity.,PTM:Stimulated by phosphorylation. Phosphorylation of both Ser-133 and Ser-142 in the SCN regulates the activity of CREB and participates in circadian rhythm generation. Phosphorylation of Ser-133 allows CREBBP binding (By similarity). Phosphorylated upon DNA damage, probably by ATM or ATR.,similarity:Belongs to the bZIP family.,similarity:Contains 1 bZIP domain.,similarity:Contains 1 KID (kinase-inducible) domain.,subunit:Interacts with PPRC1. Binds DNA as a dimer. This dimer is stabilized by magnesium ions. Interacts, through the bZIP domain, with the coactivators TORC1/CRTC1, TORC2/CRTC2 and TORC3/CRTC3. When phosphorylated on Ser-133, binds CREBBP.,
  • 纯化 The antibody was affinity-purified from rabbit antiserum by affinity-chromatography using epitope-specific immunogen.

图片

Enzyme-Linked Immunosorbent Assay (Phospho-ELISA) for Immunogen Phosphopeptide (Phospho-left) and Non-Phosphopeptide (Phospho-right), using CREB (Phospho-Ser129) Antibody
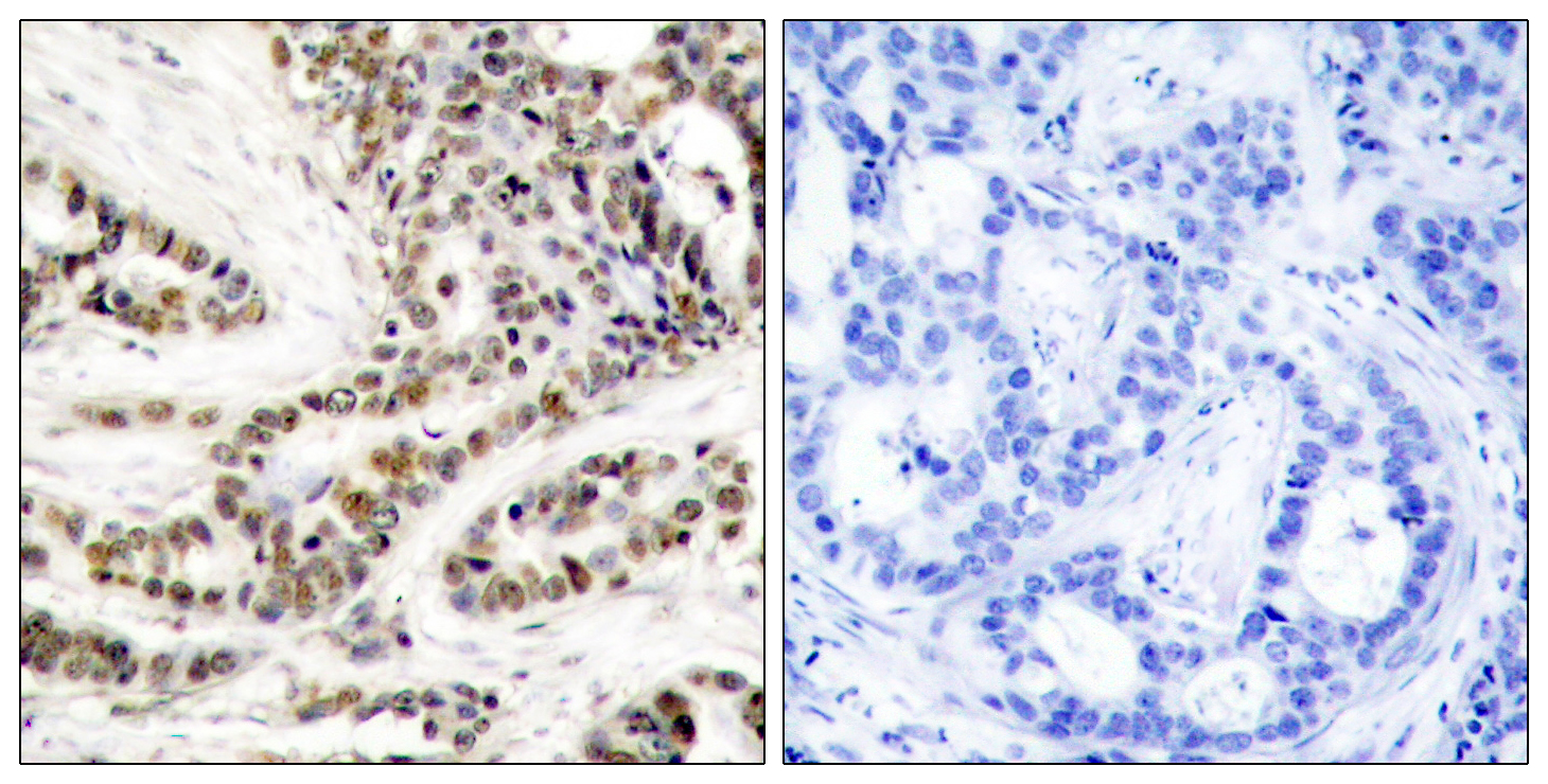
Immunohistochemistry analysis of paraffin-embedded human breast carcinoma, using CREB (Phospho-Ser129) Antibody. The picture on the right is blocked with the phospho peptide.

产品详情

文献引用 (0)

产品问答

内容已折叠

相关产品

内容已折叠

最新浏览的产品

评论内容:
上传图片:
商品评价:
提交评论
« »