ASC Rabbit Polyclonal Antibody

货号: BD-PT0365
收藏
规格 价格 货期 数量
  • 50μl
    1100.00
    咨询
    100μl
    2000.00
    咨询

产品基本信息

  • 产品货号 BD-PT0365
  • 别名 PYCARD; ASC; CARD5; TMS1; Apoptosis-associated speck-like protein containing a CARD; hASC; Caspase recruitment domain-containing protein 5; PYD and CARD domain-containing protein; Target of methylation-induced silencing 1
  • 产品名称 ASC Rabbit Polyclonal Antibody
  • 类别 抗体产品
  • 基因名称 PYCARD
  • 蛋白名称 Apoptosis-associated speck-like protein containing a CARD
  • Clonality Polyclonal
  • 推荐应用 WB,IHC-P,IF-P,IF-F,IF-ICC,ELISA
  • 反应种属 Human,Mouse,Rat
  • 浓度 1 mg/ml
  • 存储缓冲液 Liquid in PBS containing 50% glycerol, 0.5% BSA and 0.02% New type preservative N.
  • Human Gene ID 29108
  • Human Gene Link http://www.ncbi.nlm.nih.gov/sites/entrez?db=gene&term=29108
  • Human Swissprot No. Q9ULZ3
  • Human Swissprot Link http://www.uniprot.org/uniprotkb/Q9ULZ3/entry
  • Mouse Gene ID 66824
  • Mouse Gene Link http://www.ncbi.nlm.nih.gov/sites/entrez?db=gene&term=66824
  • Mouse Swissprot No. Q9EPB4
  • Mouse Swissprot Link http://www.uniprot.org/uniprot/Q9EPB4
  • 免疫原 The antiserum was produced against synthesized peptide derived from human ASC. AA range:10-59
  • 特异性 ASC Polyclonal Antibody detects endogenous levels of ASC protein.
  • 稀释度 WB 1:500-1:2000, IHC-P 1:100-1:300, IF-P/IF-F/IF-ICC 1:200-1:1000, ELISA 1:40000.Not yet tested in other applications.
  • 预测分子量 21kDa
  • 运输及保存条件 Biological ice bag transportation. Store at -20°C for at least 12 months(Do not lower than -25°C). Avoid freeze/thaw cycles
  • 宿主 Rabbit
  • 同种型 Rabbit,IgG
  • 背景介绍 This gene encodes an adaptor protein that is composed of two protein-protein interaction domains: a N-terminal PYRIN-PAAD-DAPIN domain (PYD) and a C-terminal caspase-recruitment domain (CARD). The PYD and CARD domains are members of the six-helix bundle death domain-fold superfamily that mediates assembly of large signaling complexes in the inflammatory and apoptotic signaling pathways via the activation of caspase. In normal cells, this protein is localized to the cytoplasm; however, in cells undergoing apoptosis, it forms ball-like aggregates near the nuclear periphery. Two transcript variants encoding different isoforms have been found for this gene. [provided by RefSeq, Jul 2008],
  • 组织表达 Widely expressed at low levels. Detected in peripheral blood leukocytes, lung, small intestine, spleen, thymus, colon and at lower levels in placenta, liver and kidney. Very low expression in skeletal muscle, heart and brain. Expressed in lung epithelial cells (at protein level) (PubMed:23229815). Detected in the leukemia cell lines HL-60 and U-937, but not in Jurkat T-cell lymphoma and Daudi Burkitt's lymphoma. Detected in the melanoma cell line WM35, but not in WM793. Not detected in HeLa cervical carcinoma cells and MOLT-4 lymphocytic leukemia cells.
  • 细胞定位 Cytoplasm . Inflammasome . Endoplasmic reticulum . Mitochondrion . Nucleus . Upstream of caspase activation, a redistribution from the cytoplasm to the aggregates occurs. These appear as hollow, perinuclear spherical, ball-like structures (PubMed:11103777, PubMed:12191486, PubMed:15030775). Upon NLRP3 inflammasome activation redistributes to the perinuclear space localizing to endoplasmic reticulum and mitochondria (PubMed:12191486, PubMed:15030775). Localized primarily to the nucleus in resting monocytes/macrophages and rapidly redistributed to the cytoplasm upon pathogen infection (PubMed:19234215). Localized to large cytoplasmic aggregate appearing as a speck containing AIM2, PYCARD, CASP8 and bacterial DNA after infection with Francisella tularensis (By similarity). .; Golgi apparatus membrane . (Microbial infection) Upon HRSV infection, the protein is mainly located in lipid rafts in the Golgi membrane. .
  • 信号通路 NOD-like receptor;Cytosolic DNA-sensing pathway;
  • 功能 domain:Interacts with CIAS1/PYPAF1 and PYDC1 via the DAPIN domain.,function:Promotes caspase-mediated apoptosis. This proapoptotic activity is mediated predominantly through the activation of caspase 9. May be a component of the inflammasome, a protein complex which also includes NALP2, CARD8 and CASP1 and whose function would be the activation of proinflammatory caspases.,miscellaneous:In breast tumorigenesis, methylation-mediated silencing may affect genes and proteins that act as positive mediators of cell death.,PTM:Phosphorylated.,similarity:Contains 1 CARD domain.,similarity:Contains 1 DAPIN domain.,subcellular location:Upstream of caspase activation, a redistribution from the cytoplasm to the aggregates occurs. These appear as hollow, perinuclear spherical, ball-like structures.,subunit:Forms complexes with other DAPIN domain-containing proteins. Interacts with CIAS1/PYPAF1 and PYDC1.,tissue specificity:Widely expressed at low levels. Detected in peripheral blood leukocytes, lung, small intestine, spleen, thymus, colon and at lower levels in placenta, liver and kidney. Very low expression in skeletal muscle, heart and brain. Detected in the leukemia cell lines HL-60 and U937, but not in Jurkat T-cell lymphoma and Daudi Burkitt's lymphoma. Detected in the melanoma cell line WM35, but not in WM793. Not detected in HeLa cervical carcinoma cells and Molt 4 lymphocytic leukemia cells.,
  • 纯化 The antibody was affinity-purified from rabbit antiserum by affinity-chromatography using epitope-specific immunogen.

图片

Immunohistochemistry analysis of paraffin-embedded human lung carcinoma tissue, using ASC Antibody. The picture on the right is blocked with the synthesized peptide.
Western Blot analysis of various cells using primary antibody diluted at 1:1000(4°C overnight). Secondary antibody:Goat Anti-rabbit IgG IRDye 800( diluted at 1:5000, 25°C, 1 hour). Cell lysate was extracted by Minute™ Plasma Membrane Protein Isolation and Cell Fractionation Kit(SM-005, Inventbiotech,MN,USA).
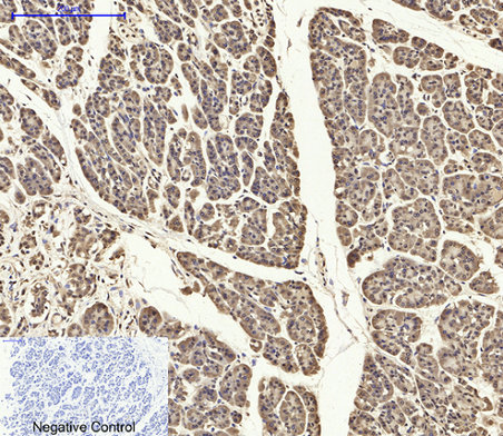
Immunohistochemical analysis of paraffin-embedded Human-liver tissue. 1,ASC Polyclonal Antibody was diluted at 1:200(4°C,overnight). 2, Sodium citrate pH 6.0 was used for antibody retrieval(>98°C,20min). 3,Secondary antibody was diluted at 1:200(room tempeRature, 30min). Negative control was used by secondary antibody only.
Immunohistochemical analysis of paraffin-embedded Human-stomach-cancer tissue. 1,ASC Polyclonal Antibody was diluted at 1:200(4°C,overnight). 2, Sodium citrate pH 6.0 was used for antibody retrieval(>98°C,20min). 3,Secondary antibody was diluted at 1:200(room tempeRature, 30min). Negative control was used by secondary antibody only.
Western Blot analysis of various cells using ASC Polyclonal Antibody diluted at 1:500
Immunofluorescence analysis
Western blot analysis of lysates from 1) K562 , 2) Hela , 3) 3T3 cells, (Green) primary antibody was diluted at 1:1000, 4°over night, secondary antibody was diluted at 1:10000, 37° 1hour. (Red) Tubulin β Monoclonal Antibody antibody was diluted at 1:5000 as loading control, 4° over night,secondary antibody was diluted at 1:10000, 37° 1hour.
Calycosin-7-Glucoside Alleviates Atherosclerosis by Inhibiting Ox-LDL-Induced Foam Cell Formation and Inflammatory Response in THP-1-Derived Macrophages via ATF-1 Activation Through the p38/MAPK Pathway. J Inflamm Res. 2025 Apr 25;18:5573-5586. WB, Human monocytic THP-1 -derived macrophage, primary antibodies against ASC (BD-PT0365; 1μg/mL) and β-actin (B8010; 0.25μg/mL) at 4 °C overnight.
Calycosin-7-Glucoside Alleviates Atherosclerosis by Inhibiting Ox-LDL-Induced Foam Cell Formation and Inflammatory Response in THP-1-Derived Macrophages via ATF-1 Activation Through the p38/MAPK Pathway. J Inflamm Res. 2025 Apr 25;18:5573-5586. WB, Human monocytic THP-1 -derived macrophage, primary antibodies against ASC (BD-PT0365; 1μg/mL) and β-actin (B8010; 0.25μg/mL) at 4 °C overnight.
Calycosin-7-Glucoside Alleviates Atherosclerosis by Inhibiting Ox-LDL-Induced Foam Cell Formation and Inflammatory Response in THP-1-Derived Macrophages via ATF-1 Activation Through the p38/MAPK Pathway. J Inflamm Res. 2025 Apr 25;18:5573-5586. WB, Human monocytic THP-1 -derived macrophage, primary antibodies against ASC (BD-PT0365; 1μg/mL) and β-actin (B8010; 0.25μg/mL) at 4 °C overnight.

产品详情

文献引用 (2)

产品问答

内容已折叠

相关产品

内容已折叠

最新浏览的产品

评论内容:
上传图片:
商品评价:
提交评论
« »