hnRNP DL Rabbit Polyclonal Antibody

货号: BD-PT2198
收藏
规格 价格 货期 数量
  • 50μl
    1100.00
    现货
    100μl
    2000.00
    现货

产品基本信息

  • 产品货号 BD-PT2198
  • 别名 HNRPDL; JKTBP; Heterogeneous nuclear ribonucleoprotein D-like; hnRNP D-like; hnRNP DL; AU-rich element RNA-binding factor; JKT41-binding protein; Protein laAUF1
  • 产品名称 hnRNP DL Rabbit Polyclonal Antibody
  • 类别 抗体产品
  • 基因名称 HNRPDL
  • 蛋白名称 Heterogeneous nuclear ribonucleoprotein D-like
  • Clonality Polyclonal
  • 推荐应用 IHC-P,IF-P,IF-F,IF-ICC,ELISA
  • 反应种属 Human,Mouse,Rat
  • 浓度 1 mg/ml
  • 存储缓冲液 Liquid in PBS containing 50% glycerol, 0.5% BSA and 0.02% New type preservative N.
  • Human Gene ID 9987
  • Human Gene Link http://www.ncbi.nlm.nih.gov/sites/entrez?db=gene&term=9987
  • Human Swissprot No. O14979
  • Human Swissprot Link http://www.uniprot.org/uniprotkb/O14979/entry
  • Mouse Swissprot No. Q9Z130
  • Mouse Swissprot Link http://www.uniprot.org/uniprot/Q9Z130
  • Rat Gene ID 305178
  • Rat Gene Link http://www.ncbi.nlm.nih.gov/sites/entrez?db=gene&term=305178
  • Rat Swissprot No. Q3SWU3
  • Rat Swissprot Link http://www.uniprot.org/uniprot/Q3SWU3
  • 免疫原 The antiserum was produced against synthesized peptide derived from human HNRPDL. AA range:241-290
  • 特异性 hnRNP DL Polyclonal Antibody detects endogenous levels of hnRNP DL protein.
  • 稀释度 IHC-P 1:100-1:300, ELISA 1:20000, IF-P/IF-F/IF-ICC 1:50-200
  • 参考分子量 46kDa
  • 运输及保存条件 -20°C/1 year
  • 宿主 Rabbit
  • 同种型 Rabbit,IgG
  • 背景介绍 heterogeneous nuclear ribonucleoprotein D like(HNRNPDL) Homo sapiens This gene belongs to the subfamily of ubiquitously expressed heterogeneous nuclear ribonucleoproteins (hnRNPs). The hnRNPs are RNA binding proteins and they complex with heterogeneous nuclear RNA (hnRNA). These proteins are associated with pre-mRNAs in the nucleus and appear to influence pre-mRNA processing and other aspects of mRNA metabolism and transport. While all of the hnRNPs are present in the nucleus, some seem to shuttle between the nucleus and the cytoplasm. The hnRNP proteins have distinct nucleic acid binding properties. The protein encoded by this gene has two RRM domains that bind to RNAs. Three alternatively spliced transcript variants have been described for this gene. One of the variants is probably not translated because the transcript is a candidate for nonsense-mediated mRNA decay. The protein isoforms encoded by this gene are similar to its family member
  • 组织表达 Expressed in heart, brain, placenta, lung, liver, skeletal muscle, kidney, pancreas, spleen, thymus, prostate, testis, ovary, small intestine, colon and leukocytes. Expressed in myeloid leukemia, gastric adenocarcinoma, cervical carcinoma, hepatoma, fibrosarcoma, colon adenocarcinoma, epidermoid carcinoma, osteosarcoma and urinary bladder carcinoma cells.
  • 细胞定位 Nucleus . Cytoplasm . Shuttles between the nucleus and the cytoplasm in a TNPO1-dependent manner. .
  • 功能 function:Acts as a transcriptional regulator. Promotes transcription repression. Promotes transcription activation in differentiated myotubes (By similarity). Binds to double- and single-stranded DNA sequences. Binds to the transcription suppressor CATR sequence of the COX5B promoter (By similarity). Binds with high affinity to RNA molecules that contain AU-rich elements (AREs) found within the 3'-UTR of many proto-oncogenes and cytokine mRNAs. Binds both to nuclear and cytoplasmic poly(A) mRNAs. Binds to poly(G) and poly(A), but not to poly(U) or poly(C) RNA homopolymers. Binds to the 5'-ACUAGC-3' RNA consensus sequence.,induction:Up-regulated by 12-O-tetradecanoylphorbol 13-acetate (TPA) in macrophages and retinoic acid (RA) in granulocytes (at protein level). Down-regulated by interleukin-4 (IL-4).,PTM:Dimethylation of Arg-408 is probably of the asymmetric type.,similarity:Contains 2 RRM (RNA recognition motif) domains.,subcellular location:Shuttles between the nucleus and the cytoplasm in a TNPO1-dependent manner.,subunit:Interacts with ZNF148 (By similarity). Interacts with TNPO1.,tissue specificity:Expressed in heart, brain, placenta, lung, liver, skeletal muscle, kidney, pancreas, spleen, thymus, prostate, testis, ovary, small intestine, colon and leukocytes. Expressed in myeloid leukemia, gastric adenocarcinoma, cervical carcinoma, hepatoma, fibrosarcoma, colon adenocarcinoma, epidermoid carcinoma, osteosarcoma and urinary bladder carcinoma cells.,
  • 纯化 The antibody was affinity-purified from rabbit antiserum by affinity-chromatography using epitope-specific immunogen.

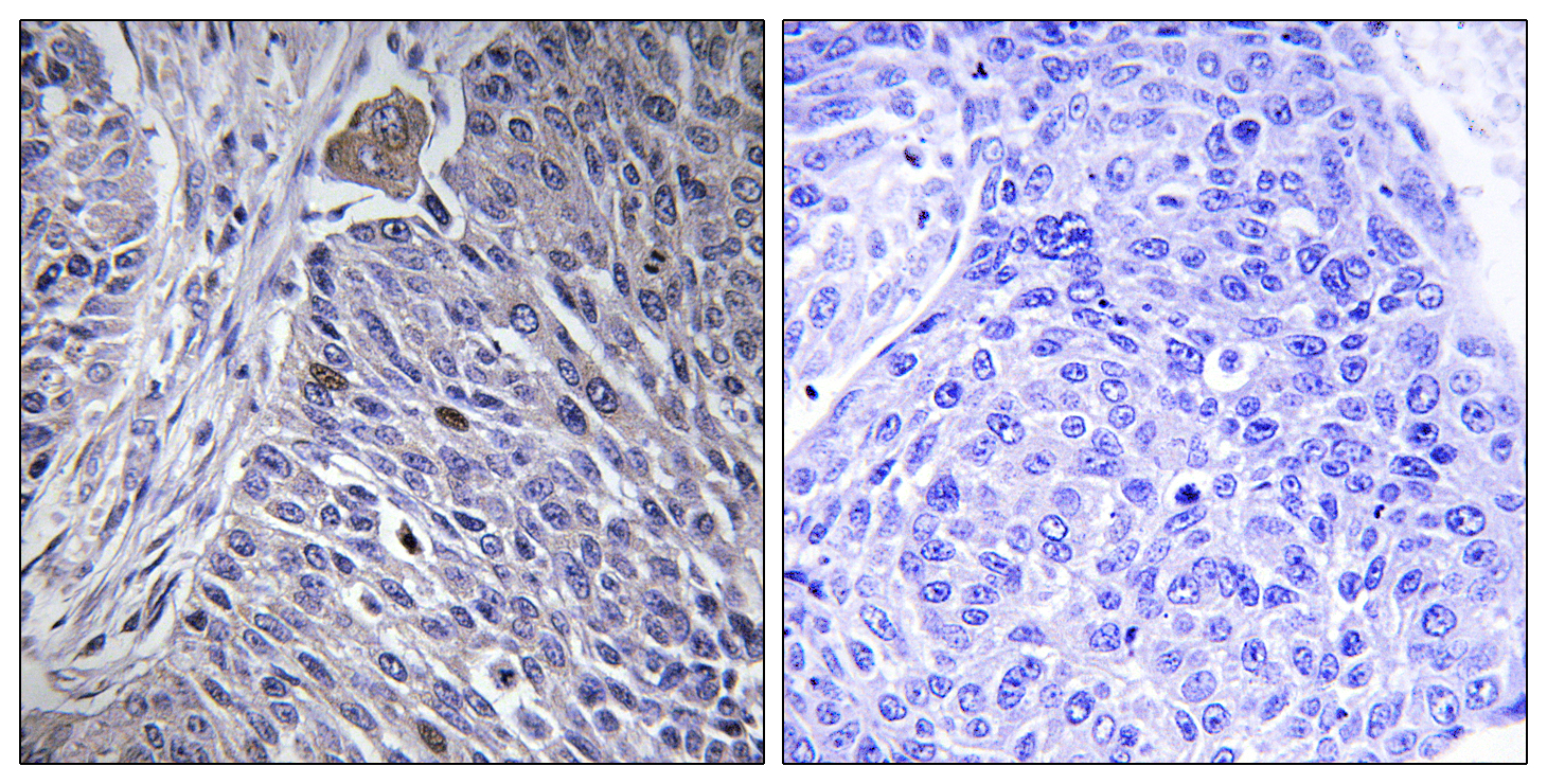
图片

Immunohistochemistry analysis of paraffin-embedded human lung carcinoma tissue, using HNRPDL Antibody. The picture on the right is blocked with the synthesized peptide.

产品详情

文献引用 (0)

产品问答

内容已折叠

相关产品

内容已折叠

最新浏览的产品

评论内容:
上传图片:
商品评价:
提交评论
« »